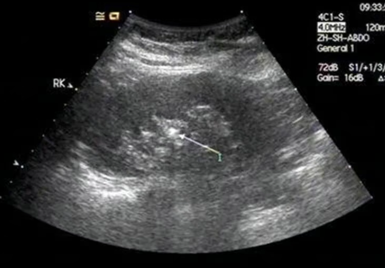
结石咋突然出现了?
年年体检、还做B超,去年肾脏还“一片清净”,今年却查出7mm结石,还伴随着尿尿带血、腰部酸痛的症状。——这是患者小张近期的烦心事。

明明定期筛查,结石为何“突然冒出来”?今天,我们就邀请我院泌尿外科副主任医师张建军,为大家解开这些困惑。
1B超并非精准“标尺”
B超是肾结石筛查的首选,便捷无创且能发现大部分结石,但它并非万能。通俗来讲,超声查结石就像夜晚找星星,大的、回声强的易识别,小的、回声弱或位置隐蔽的则容易漏检。
2具体要看结石的特点:

成分差异
不同成分结石(如草酸钙、磷酸钙结石等),超声下回声强度不同,部分质地疏松、回声弱的结石,体积较小时更难被发现。
大小因素4mm以下微小结石,超声分辨率有限,检出概率低,小张的7mm结石大概率是由小结石逐渐增大形成。
结石“年龄”区别新形成的结石质地软、回声弱,不易识别;随时间钙化、质地变密后,回声增强,更易被B超捕捉。
2尿血、腰酸,都是结石在“作祟”小张尿血、腰酸的核心原因,是结石在输尿管内活动引发的损伤与刺激。结石在狭窄输尿管内滚动或卡顿,会摩擦划伤黏膜。
●小结石易刮擦管壁,引发尿血、轻微腰酸●大结石剧烈摩擦黏膜,易致明显尿血,还可能压迫肾脏、刺激输尿管痉挛,加重腰酸不适。
张主任建议大家:定期体检是健康保障,但单一检查并非绝对全面。若出现尿血、腰酸、腹痛等症状,即便近期体检正常,也需及时就医复查,避免延误病情~









